萌出誘導(連続抜去・抜歯矯正)
最近の子供たちの傾向として、全体的に顎が小さくなっています。
食生活の変化が主な原因と言われていますが、その結果、歯並びが良くない場合が多く見られるようになりました。
顎が小さくなったにも関わらず、歯の大きさは変わらないため、生えるための場所が不足し、最終的には乱杭歯(叢生)の永久歯列となってしまいます。
乳歯の段階で、将来的にそうなることは予想できますし、その場合、生え変わりの時期に治療することで叢生は予防出来ます。
生え変わりの時期に、隣の乳歯を早めに抜歯することで永久歯の生える場所を作り、正常な位置に永久歯を誘導する。
その後、次の永久歯の生える時期にその隣の乳歯を抜いて歯を生やしていく。前の方から順に場所を作りながら永久歯を並べていく このようなイメージです。
この矯正方法は、抜歯を行いながら歯を誘導していく方法ですので、特殊な器具は使用しない点、費用が比較的少なく済む点がメリットです。
しかし、歯の生え変わりの一時期にしか行えない点、器具を使わない分、誘導の確実性に劣る点、抜歯が子供たちの精神的な負担になりやすいこと、抜歯のタイミングが限られる点、などがデメリットとなります。

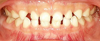
本来理想的な歯並びは、このように歯と歯の間に隙間があります。その隙間を使い、永久歯は生えてきます。

乳歯の段階でスペースはなく、将来的な叢生が予想できます。

永久歯の生えるためのスペースが不足しているため、邪魔をしている乳歯を2本抜きます。

スペースを作ってあげ、永久歯の萌出を促します。
実際の歯の動き方

②が生えてきましたが、①が邪魔で斜めになっています。

そこで①を抜いて、②が生えてくるスペースを増やしました。
④と⑤の間から⑥も生えてきました。

同様に⑤を抜いて、⑥が生えてくるスペースを作りました。段々、②がまっすぐになってきています。

早めに歯を抜いたので、前歯がまっすぐに並びました。
実際の歯の動き方
1.初診時に行うこと
問診の記入、聞き取りを行って、現在一番気になっている部分の診査を行います。
また、今後の診療における希望などがあれば、お伺いします。
気になっている部分の改善を優先して治療を行いますが、当院ではトータルな治療を行いますので、今後必要になる場合は他の検査もあわせて行う場合もあります。
2.診療期間
診療期間は、虫歯の状況、本数、歯周病の状態により変わります。
特に歯周病は、生活習慣病ですので完治はなく、病状安定を目標としますので、その後のアフターケアが大切です。
虫歯の処置や補綴処置と並行しながら、歯磨き指導やクリーニングを行います。
3.診療終了時
咬合状態の確認、日常生活でのケア、歯周病の状況を確認し、定期検診に移行して問題ない状況を確認して治療を終了いたします。
自宅での歯磨きをしっかり行ってもらうことは症状を再発させないためにも重要です。
4.定期検診
その方の状況に合わせて定期検診の期間を設定しております。
ハガキにてタイミングのお知らせを行っておりますので、ご都合の良い日時をご連絡の上、ご来院ください。
